Nicht jede sogenannte Progenie, oder auch Vorbiss genannt muss mit einem kieferchirurgischen Eingriff (Progenie-Operation) behandelt werden. Hier ein Beispiel für eine alveoläre Kompensation bei der eine Operation vermieden werden konnte.
Die Patientin hatte vor vielen Jahren einen Fahrradunfall und verlor dabei einen Teil der Oberlippe. Nach mehreren Operationen, konnte damals eine plastische Regeneration der Oberlippe erfolgen. Die oberen Frontzähne befinden sich im Kreuzbiss. Die unteren Frontzähne stehen nach vorne geneigt in so genannter protrudierter Stellung. Ein zusätzliches Merkmal ist, dass die oberen seitlichen Schneidezähne realtiv klein ausgebildet sind und die unteren Frontzähne mit der trapezförmigen Kronenform ein Missverhältnis in der Breite aufweisen (Zahnbreitenmissverhältnisse zwischen Ober- und Unterkieferzähnen heissen auch Bolton-Diskrepanz).
- Vor Invisalign® Progenie Therapie
- Nach Invisalign® Progenie Therapie
Patientenbilder Vor-, und Nach der Behandlung von einer Progenie
Vorbiss Korrektur ohne operation: Behandlungsdauer mit Invisalign® 27 Monate
Patientin mit Progenie (Vorbiss)
Patientengebiss nach Invisalign® Therapie und korrigierten Vorbiss ohne Operation
Um einen alveolären Ausgleich eines frontalen Überbisses zu ermöglichen, ist es notwendig, die Bolton-Diskrepanz zu beseitigen. Dies geht zu Einen dadurch, dass die zu klein geratenen seitlichen Frontzähne mit Composite-Materialien aufgebaut werden (und zu Anderen die unteren Frontzähne an den seitlichen Kontaktflächen gekürzt werden. In der Fachsprache wird die als approximale Schmelzreduktion bezeichnet.
In der phylogenetischen Entwicklung der Menschen ist auffällig, dass das Gehirn und der obere Schädelbereich immer größer geworden ist (Neurocranium) aber der für die Verdauung verantwortliche Teil des Schädels (Viscerocranium) immer kleiner geworden ist. Die Anlagen der Zahnform haben jedoch nicht so eine schnelle Entwicklung mitgemacht. Zu Ausgleich hierzu hat der Mensch im Unterschied zum Affen keine geraden Zahnleisten sonder gebogene Okklusionsflächen (Speekurve), um alle Zähne in dem verkleinerten Verdauungsschädel aufnehmen zu können. Dennoch ist der Zahnschmelz relativ zur knöchernen Basis, in der sich die Zähne befinden zu groß, was dann zu Zahnengstand, Zahnfehlstellungen oder Kieferfehlstellungen führen kann. Die menschlichen Erbanlagen sind in 3 Hauptkategorien definiert. So gehört der Zahnschmelz wie die Haut zur ektodermalen Erbanlage jedoch der die Zähne aufnehmende Knochen wie die Muskeln zur mesodermalen Erbanlage. Die 3. Kategorie der Erbanlagen heissen endodermal und hierzu gehören das Gehirn, Lunge, Herz und alle Innereien. Da Knochenmuskeln in einer ontogenetischen Entwicklung des Menschen sehr schnell reagieren, ist hier eine individuelle Anpassung möglich. Die ektodermalen Erbanlagen reagieren jedoch im Laufe des Lebens eines einzelnen Menschen nur sehr langsam, bzw. auf die Zähne bezogen gar nicht. Aus diesem Zusammenhang sozusagen das Berufsbild des Kieferorthopäden, die hierdurch entstehenden Zahn- und Kieferfehlstellungen zu korrigieren. Nicht immer ist es gut, gleich bleibende Zähne zu ziehen oder mit Kieferoperationen die Fehlstellungen zu beseitigen. Stehen, wie in diesem Fall die Eckzähne in annähernd neutraler Relation, so kann durch die Zahnumformung mit approximaler Schmelzreduktion eine eugnathe Gebissrelation wieder hergestellt werden. Auch dadurch ist eine Harmonisierung des Gesichtsprofiles erreichbar.
Mehr zum Thema approximale Schmelzreduktion bezeichnet (ASR) finden Sie hier:
Patientenbeispiel Progenie Therapie ohne Operation mit Invisalign®
Bilder der Vorbisskorrektur ohne OP mit approximaler Schmelzreduktion, Teilbogentechnik und Invisalign®-Aligner
Patientin vor Behandlungsbeginn
Patientin vor Behandlungsbeginn mit schwarzen Dreiecken und Lücken in der Unterkiefer Front
Approximaler Schmelzreduktion
Patientin vor und nach approximaler Schmelzreduktion im Front- und Seitenzahnbereich zum alveolären Ausgleich der Fehlverzahnung.
Vor approximaler Schmelzreduktion
Nach approximaler Schmelzreduktion
Invisalign® Clin Check Planung
ClinCheck von Ober- und Unterkiefer mit Überlagerung der Anfangs- und Endsituation. Hier deutlich zu sehen, dass die Oberkiefer Front leicht nach vorne bewegt wird (Protrusion) und die Unterkiefer Front deutlich zurück bewegt wird (Retrusion).
Einzelzahnrotationen mit Teilbogentechnik
Da Einzelzahnrotationen insbesondere der unteren kleinen Backenzähnen (Prämolaren) mit Invisalign® trotz anbringen zweier Attachments pro Zahn oftmals nicht gelingen, sind hierfür zusätzliche Maßnahmen notwendig.
Die hier rechts dargestellte bracketlose Apparatur, wurde von mir auf Anregung der Verfahrenstechniken des Kollegen Dr. Manfred Schüssler aus Heidelberg(Toronto-Concept) entwickelt. Mit dieser Teilbogentechnik können ungünstig gedrehte Zähne auch ohne Bracketapparatur ausrotiert werden.
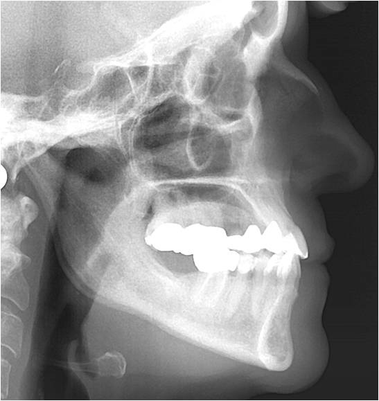
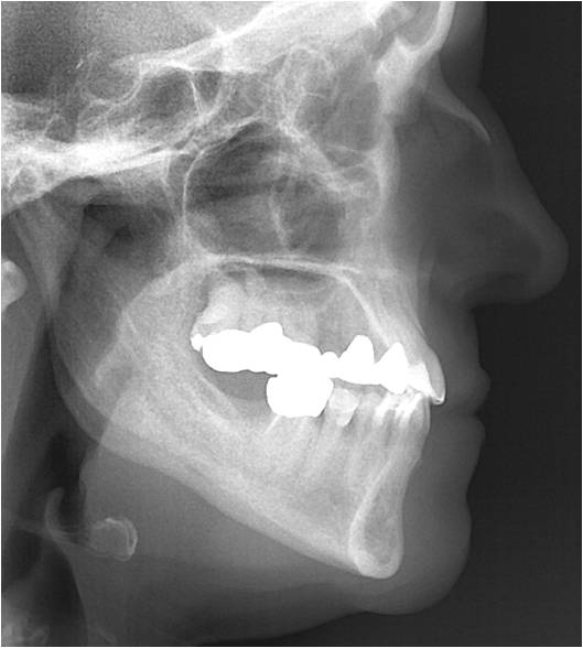
Behandlungsverlauf mit Fernröntgenseitenbilder
Im Fernröntgenseitenbild ist sichtbar, dass die Profilverbesserung der Patientin durch Retrusion der Unterkiefer Front erreicht wurde. Sehr interessant hierbei ist folgender Zusammenhang:
Vor Behandlung der Progenie
In Behandlung der Progenie
Nach Behandlung der Progenie
Ein weiteren Patientenbeispiel einer Progenie Korrektur mit Invisalign® Aligner finden Sie hier:
Jeder Mensch neigt dazu, sein Gesicht in der frontalen Ebene, achsengerecht d. h. im Lot, von Oben nach Unten, gerade zu stellen. So ist es typisch, dass Patienten mit einem Rückbiss das Kinn eher nach Vorne schieben und die Stirn eher nach hinten geneigt ist. Umgekehrt verhält sich der Patient mit Vorbiss (Progeniepatient) so, dass er den Kopf eher nach vorne unten neigt um wieder eine gerade Stellung des Gesichts zu erhalten. Diese unterschiedliche Neigung des Kopfes, hat einen erheblichen Einfluss auf die Atemwege! Der nach vorne geneigt Kopf verengt die Atemwege und der nach hinten geneigte Kopf öffnet die pharyngialen Atemwege. Durch die neue Kieferrelation, hat diese Patientin trotz Retrusion der Unterkiefer Front eine Verbesserung des respiratorischen Traktes mit Vergrößerung des Mesiopharynx erreicht.
Bewertungen / Erfahrungsberichte
Themen auf unserer Fachwebseite für Invisalign® Aligner