Das attraktive Lächeln dieser Patientin wird durch den Zahnschmelzverlust der oberen Frontzähne deutlich gemindert. Die Ursache hierfür liegt in der progenen Frontzahnrelation mit Engstand in der Unterkieferfront. Die schiefstehenden Unterkiefer-Frontzähne führten zu einer unnatürlichen Abnutzung in der Oberkieferfront. Die Progenie war letztlich der Grund für die unphysiologische Frontzahnattrition. Darum galt es, diese zu korrigieren.
Progenie mit Invisalign®
Informationen über die Korrektur einer "Progenie " anhand einem Patientenbeispiel und einer Invisalign® Therapie.
- Vor Progenie Invisalign® Behandlung
- Nach Progenie Invisalign® Behandlung
Progenie Patientenbilder von der Therapie mit Invisalign® Schienen
Behandlungsdauer mit Invisalign® bei dieser Progenie: 14 Monate
Anamnese und Therapie mit Invisalign® bei einer Progenie
Behandlungsfall progene Verzahnung mit frontalem Kopfbiss
Bruxismus (häufiges Zähneknirschen) fördert ein zu starkes Abnutzen des Zahnschmelzes (Attrition). Stehen die Zähne schief wie bei der hier vorliegenden Progenie, nutzt sich der Zahnschmelz auch ungleichmäßig ab. Dies kann nach erfolgter kieferorthopädischer Progenie-Behandlung nur durch ausgleichende Schmelzreduktion und Aufbau übermäßig fehlenden Schmelzes behoben werden.
Die Patientin hat eine progene Verzahnung mit frontalem Kopfbiss und eine in Staffelstellung stehende Unterkiefer-front. Die dadurch bedingte Attrition der Frontzähne führte zu einer nicht mehr harmonischen negativen Lachlinie mit unruhigem abgesetztem Verlauf.
Um einen korrekten Überbiss der Frontzähne zu garantieren, war es in diesem Fall erforderlich, einen kleinen unteren Frontzahn zu opfern (Extraktion Zahn 41). Dies führt bei solchen Patienten nicht nur zu einer Harmonisierung der Proportionen von Oberlippe zu Unterlippe, sondern trägt auch ganz entscheidend zur Verbesserung des Profils bei. Die untere „Schmolllippe” verliert ihren „bösen” Charakter.
Die Extraktion eines einzelnen unteren Frontzahnes war in diesem Fall als Ausnahme erlaubt, da diese Maßnahme dazu führte, dass eine ansonsten viel aufwendigere und invasivere Kieferoperation nun nicht mehr erforderlich war.
Digitale Planung mit Clin Check für Invisalign® Therapie
Mit Simplant-Software der Firma Materialise berechnete Implantatposition auf der Grundlage einer 3-D computertomografischen Analyse. Mit diesen High-Tec Verfahren können die CT-Daten computergestütze Ergebnisse zur bestmöglichen und sicheren Versorgung des Patienten liefern.
Patientenbeispiel Vorbiss (Progenie) Korrektur "ohne Operation":
Wieder eine positive Lachlinie durch erfolgreiche Progenie Korrektur
Patientenbilder Progenie mit Invisalign
Bilder Patientenbeispiel Behandlungsverlauf der Progenie Korrektur
Vorher: Auffällig der fehlende Überbiss bei einer Progenie und die schwarzen Lücken der negativen Stufe
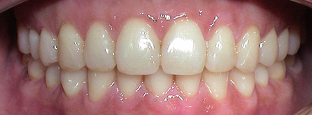
Nachher: Jetzt harmonischer Frontzahnüberbiss nach erfolgreicher Progenie-Behandlung ohne Kieferoperation
Obwohl es für die Behandlung der Anomalie erforderlich war, einen Zahn zu extrahieren, musste sich die Patientin nicht mit einer hässlichen Lücke plagen.
Ein geschickt angefertigtes Kunststoffschild ersetzt den fehlenden Zahn und wird im Laufe der Behandlungsschritte jeweils um das erforderliche Maß gekürzt.
- info@kieferorthopaede-frankfurt.com
- (069) 920 205 353 / Frankfurt am Main
-
Ab 2024 wird nur noch in der Büdinger Praxis behandelt: Route generieren












