Nach eingehender Aufklärung entschied sich der Patient zu einer kombinierten Kieferorthopädisch/Kieferchirurgischen Therapie, bei der eine Bracketfreie Behandlung, ausschließlich mit Invisalignschienen vorgenommen werden sollte.
Vorbiss
Informationen über die Korrektur eines "Vorbisses" anhand einem Patientenbeispiel mit einer Invisalign® Therapie und einem kieferchirurgischen Eingriff.
- Vor Vorbiss Korrektur
- Nach Vorbiss Korrektur
Patientenbilder Vor-, und Nach der Behandlung von einem Vorbiss
Invisalign® Behandlungsdauer bei diesem Vorbiss: 1 Jahr und 7 Monat
Anamnese / Befund Vorbiss
Behandlungsfall von einem Vorbiss
Der Patient suchte kieferorthopädischen Rat, da er Angst hatte, dass sein Vorbiss schädlich auf seine Kiefergelenkfunktion sein könnte. Er befürchtete das durch die falsche Stellung des Oberkiefers zum Unterkiefer seine Kiefergelenke degenerieren werden könnten. Die manuelle Funktionsanalyse zeigte neben einer irregulären Seitenabweichung der Kieferöffnung bei der Belastungsprobe der Kiefergelenke in dynamischer translation nach lateral und dynamischer Kompression, deutliche Schmerzsymptome im rechten Kiefergelenk.
Neben einer diskreten Mittelgesichtsdysplasie mit Rücklage des Oberkiefers (Retrognathie) steht der Unterkiefer skelettal in progener Relation. Aufgrund dieser Kieferfehlstellung beisst der Patient in frontalem und seitlichen Kreuzbiss.
Therapie des Vorbiss
Invisalign® Therapie und kieferchirurgischen Eingriff
Nach Ausformung beider Kiefer, wurde eine kombinierte Dysgnathiechirurgie mit Vorverlagerung und Kaudalschwenkung (Verlängerung des Oberkiefers in der Vertikalen) sowie dezenter Rückverlagerung mit Rotation es Unterkiefers vorgenommen. Ein Einstellen in neutraler Relation wurde erreicht.
Durch die gewissenhafte und präzise Vorbereitung des chirurgischen Eingriffes in der Kieferchirurgischen Praxis Dr. Dr. Kater, konnte ein individuell optimales Ergebnis erreicht werden, bei dem die Kiefergelenke entlastet werden und die physiologische Atmung nicht beeinträchtigt wird. Mit 3D DVT Röntgendiagnostik und OP-Planung erreichte der Kollegen Dr. Davids unter Anwendung der Simplant-Software der Fa. Materialise, ein gesichertes Therapieziel.
Bilder vom Patientenbeispiel vond der Vorbiss Korrektur
Behandlung vom Vorbiss durch Invisalign® und einer Kieferoperation
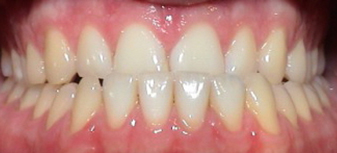
Invisalign® Vorbiss vor Behandlungsbeginn
Invisalign® Vorbiss nach Behandlungsende
- info@kieferorthopaede-frankfurt.com
- (069) 920 205 353 / Frankfurt am Main
-
Ab 2024 wird nur noch in der Büdinger Praxis behandelt: Route generieren












