Der Patient kam in unsere Invisalign Praxis, weil er über starke Kopfschmerzen und Nackenschmerzen klagte. Erst in zweiter Hinsicht war er mit seinem Lächeln unzufrieden. Der falsche Überbiss des rechten oberen Eckzahnes (Kreuzbiss) und der Engstand in der Unterkieferfront führten nicht nur zu einem unattraktiven Lächeln mit schwarzen Lücken, so als würden Zähne fehlen, sondern waren auch die Ursache für muskuläre Verspannungen der Kaumuskulatur und der Nackenmuskulatur, welche letztendlich für die starken Kopfschmerzen verantwortlich waren, unter denen der Patient schon lange litt. Für seinen Beruf ist es dem Patienten wichtig, mit einem gewinnenden, sympathischen Lächeln aufzutreten ohne dabei von Kopfschmerzen geplagt zu werden.
Kopfschmerzen
Informationen über die Korrektur vom "Kreuzbiss, Engstand mit auftretenden Kopfschmerzen (Migräne)" anhand einem Patientenbeispiel mit einer Invisalign® Behandlung.
- Vor Kreuzbiss und Engstand Korrektur
- Nach Kreuzbiss und Engstand Korrektur
Patientenbilder Vor-, und Nach der Korrektur vom Kreuzbiss und Heilung der chronischen Kopfschmerzen
Behandlungsdauer der Zahnkorrektur und Migräne durch Invisalign® Aligner: 11 Monate
Anamnese und Therapie zur Behandlung bei Migräne-Kopfschmerzen
Mit der Invisalign Therapie wurde Oberkiefer Kreuzbiss überstellt und derUnterkiefer Engstand beseitigt
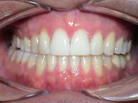
Der Vergleich der mittleren, oberen Frontzähne zeigt, dass mit sorgfältigem ASR (=approximale Schmelzreduktion) hässliche schwarze Zahnlückendreiecke verschwinden. Auch war der Patient von seinen quälenden Kopfschmerzen befreit.
Nach nur 11 Monaten und 30 Alignerschienen pro Kiefer konnte der Patient mit seinem gewünschten Lächeln auftreten. Der Kreuzbiss des Eckzahnes wurde überstellt und damit auch ein schwerwiegendes, kaufunktionelles Hindernis, welches die besagten Kopfschmerzen verursacht hatte, beseitigt. Die Möglichkeit der „fast unsichtbaren“ Spangenkorrektur machte dem Patienten den Entschluss zur Behandlung einfacher.
Clin Check für Invisalign Aligner Zahnkorrektur bei Engstand, Kreuzbiss und auftretender Migräne
Patientenbeispiele zum Thema "Kreuzbiss und Engstand" finden Sie hier:
Kopfschmerzen und Kieferorthopädie
Wie hängen Migräne Kopfschmerzen mit schiefen Zähnen zusammen?
Was viele Menschen nicht wissen, dass Zahn- und Kieferfehlstellungen zu starken migräneartigen Kopfschmerzen führen können. Nicht nur die Nackenmuskulatur wird verspannt; durch dauerhafte Fehlfunktionen und Okklusionshindernisse kommt es zu einer Verspannung der Kau- und Gesichtsmuskulatur. Beruflicher Stress mit geringem seelisch-körperlichem Ausgleich fördern solche Reaktionen. Der langjährige Präsident der größten wissenschaftlichen Zahnärztegesellschaft der DGZMK Professor Dr. Meyer aus Greifswald hatte in seinem Vortrag anlässlich der 6. zahnmedizinischen Jahrestagung des ZAB e.V 2006 in Frankfurt ausführlich über die interdisziplinären Aspekte der Kaufunktion berichtet. Er belegte anhand neuester Veröffentlichungen der Greifswald-Studie das Zusammenwirken von verspannter Kaumuskulatur mit vor allem einseitigen migränen Kopfschmerzen. Je stärker ein Patient unter druckdolenter Kaumuskulatur leidet, desto höher ist die Wahrscheinlichkeit migräneartiger Kopfschmerzen. Die Intensität der Migräne-Kopfschmerzen korreliert dabei in statistischer Signifikanz mit den muskulären Befunden der Myoarthropatie des Kausystems.
Bilder der Behandlung vom "Kreuzbiss und Engstand"
Patientenbeispiel mit vorher und nachher Bilder Zahnfehlstellung
Kopfschmerzen mit einem Kreuzbiss und Engstand vor Behandlungsbeginn
Behandlungsende ohne Kopfschmerzen
Der Vergleich der mittleren, oberen Frontzähne zeigt, dass mit sorgfältigem ASR (=approximale Schmelzreduktion) hässliche schwarze Zahnlückendreiecke verschwinden. Auch war der Patient von seinen quälenden Kopfschmerzen befreit.
Informationen zum Thema "fast unsichtbare Zahnspange" finden Sie hier:
Neueste Forschungen zur interdisziplinären Therapie der Kopfschmerzen in Frankfurt vorgestellt
Eigene Forschungen des Präsidenten der Deutschen Gesellschaft für Zahn-, Mund- und Kieferheilkunde DGZMK Hr. Prof. G. Meyer ergaben, dass ein Großteil der Migräne eine Ursache im Kausystem findet und der Heilungserfolg bei über 50% liegt. Zum Vergleich hierzu: Neurologen haben lediglich einen Heilungserfolg bei chronischen Kopfschmerzen von ca. 30 %. Professor G. Meyer ist es bei etlichen Patienten, die sich von Seiten der Neurologie als besonders hartnäckig erwiesen und keinerlei Anzeichen eines Therapieerfolges zeigten, gelungen, diese durch die richtige zahnärztliche Schienentherapie, Einschleiftherapie, Kieferorthopädie oder auch Prothetik von ihrem Leiden, dem Kopfschmerz, vollständig zu befreien! Hierbei zeigt sich, dass der Therapieerfolg um so größer ist, je früher mit der Behandlung der Kopfschmerzen begonnen wird. Am erfolgreichsten ist die Therapie in einem Stadium, in dem sich die Migräne nur durch einseitige Kopfschmerzen äußert. Vielen Patienten und auch vielen Neurologen, bzw. Zahnärzten ist dieser Zusammenhang und die damit verbundenen hohen Erfolgsaussichten gar nicht bekannt. Kopfschmerzen - behandelt beim Zahnarzt oder beim Fachzahnarzt für Kieferorthopädie: Mit dieser Erkenntnis sind viele Besucher der in Frankfurt abgehaltenen zahnärztlichen Jahrestagung des ZAB e.V. nach Hause gefahren.
- info@kieferorthopaede-frankfurt.com
- (069) 920 205 353 / Frankfurt am Main
-
Ab 2024 wird nur noch in der Büdinger Praxis behandelt: Route generieren












